Oroscopo del 21 settembre, scopri cosa ti riservano gli astri Lifestyle Sei curioso di sapere se il tuo segno zodiacale è tra i più fortunati di questa giornata?... 21 set - 07:00
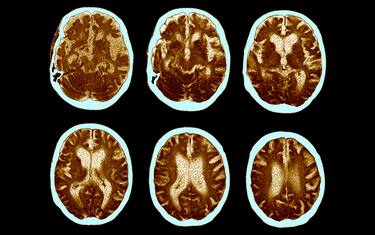
Alzheimer, prevenzione può evitare o rallentare 40% casi di demenza Salute e Benessere Il Rapporto mondiale Alzheimer 2023 redatto Alzheimer's Disease International (Adi), si concentra... 21 set - 07:00 9 foto
L'étoile Luciana Savignano nei panni di “Sara la Kali”. VIDEO Spettacolo La celebre danzatrice interpreta la protettrice del popolo dei camminanti, da molti conosciuta... 21 set - 06:57
Manovra, fino a 120 euro in più con taglio del cuneo e riforma Irpef Economia La Fondazione Nazionale dei Commercialisti, per il Messaggero, ha calcolato l’effetto... 21 set - 06:30 10 foto
Bonus conto corrente, a chi spetta e quante operazioni si possono fare Economia Attiva dal 2018, l’agevolazione consente a chi ha un Isee inferiore a 11.600 euro annui e ai... 21 set - 06:30 10 foto
Caro voli, quanto sono saliti i prezzi? Ecco come cambiano le norme Economia A differenza dell'impostazione originaria, che "inibiva" l'utilizzo della tecnica del prezzo... 21 set - 06:30
La linea Pro di Logitech per il mondo dei videogames NOW Nel mondo dei videogames se vuoi competere ad alti livelli oltre alle abilità servono strumenti... 21 set - 06:20
TechBBQ, a settembre il cuore dell'Innovazione batte a Nord NOW TECHBBQ è una tech conference che è riuscita nell'impresa non semplice di unire il piacere tutto... 21 set - 06:00
Migranti, Meloni: "L'Onu non volti le spalle, guerra ai trafficanti" Mondo La premier è a New York per la 78esima assemblea generale delle Nazioni Unite. "L’Italia -... 21 set - 02:10