Taylor Swift, padre accusato di aver aggredito un fotografo a Sydney Spettacolo Secondo le accuse del paparazzo, Scott Swift avrebbe preso a pugni Ben McDonald intorno alle due... 27 feb - 12:53
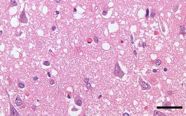
Malattia del cervo zombie, cosa sono i prioni e come causano il morbo Salute e Benessere Si tratta di proteine “anomale” in grado di trasmettere la loro irregolarità alle proteine sane... 27 feb - 12:44
Auto usate, diesel quasi la metà di quelle vendute in Italia nel 2023 Auto Nel 2023 vendute 5 milioni di auto usate: l'86,5% tra diesel e benzina. Flop dell'elettrico. A... 27 feb - 12:39
Navalny, arrestato a Mosca uno dei legali dell'oppositore morto Mondo Intanto la portavoce del team e della famiglia del dissidente russo, Kira Yarmish, ha raccontato... 27 feb - 12:34
Elezioni regionali Sardegna, i meme sullo spoglio a rilento Politica Lo scrutinio, iniziato lunedì 26 febbraio alle 7 del mattino, si è rivelato molto lento. E dopo... 27 feb - 12:25 10 foto
Re Carlo, presentate le nuove banconote con il suo ritratto. FOTO Mondo Nel corso dell'evento "The Future of money" la Banca d'Inghilterra ha rivelato ufficialmente il... 27 feb - 12:00 10 foto
Cristiano Ronaldo indagato in Arabia Saudita per esultanza immorale Sport L'ex fuoriclasse di Manchester United, Real Madrid e Juventus ha risposto alle provocazioni dei... 27 feb - 11:58
Concorso straordinario magistratura, Anm: "Pronti a scioperare" Cronaca La giunta dell'Associazione nazionale magistrati (Anm) ha emesso una nota affermando che "se... 27 feb - 11:55
Todde: "Orgogliosa di essere prima donna presidente Sardegna" Politica Il primo discorso della neo governatrice dopo il testa a testa con Truzzu: “Le donne hanno fatto... 27 feb - 11:42